PEDIATRIC SLEEP

Pediatric sleep issues can range from disordered breathing during sleep—from chronic allergies, mouth breathing, snoring, heavy breathing, or choking/gasping—to obstructive sleep apnea (OSA). These concerns occur when the muscles in the back of the throat relax, causing the airway to narrow and making it harder for your child to breathe properly during sleep.

Because quality sleep is essential for growth, behavior, and overall health, Dr. Nez takes a collaborative, team-based approach to evaluating and supporting children with sleep-related concerns.

Pediatric sleep issues are complex and require an accurate and thoughtful assessment. The signs and symptoms are only one piece of the puzzle. If Dr. Nez suspects abnormal breathing during sleep, she works to identify the underlying cause of the airway obstruction and collaborates closely with your child’s ENT and medical team when appropriate.

A comprehensive evaluation includes understanding your child’s sleep environment, craniofacial structure, and oral function. To gain a complete picture, Dr. Nez may use the following diagnostic tools:

    •    Pediatric Sleep Questionnaire

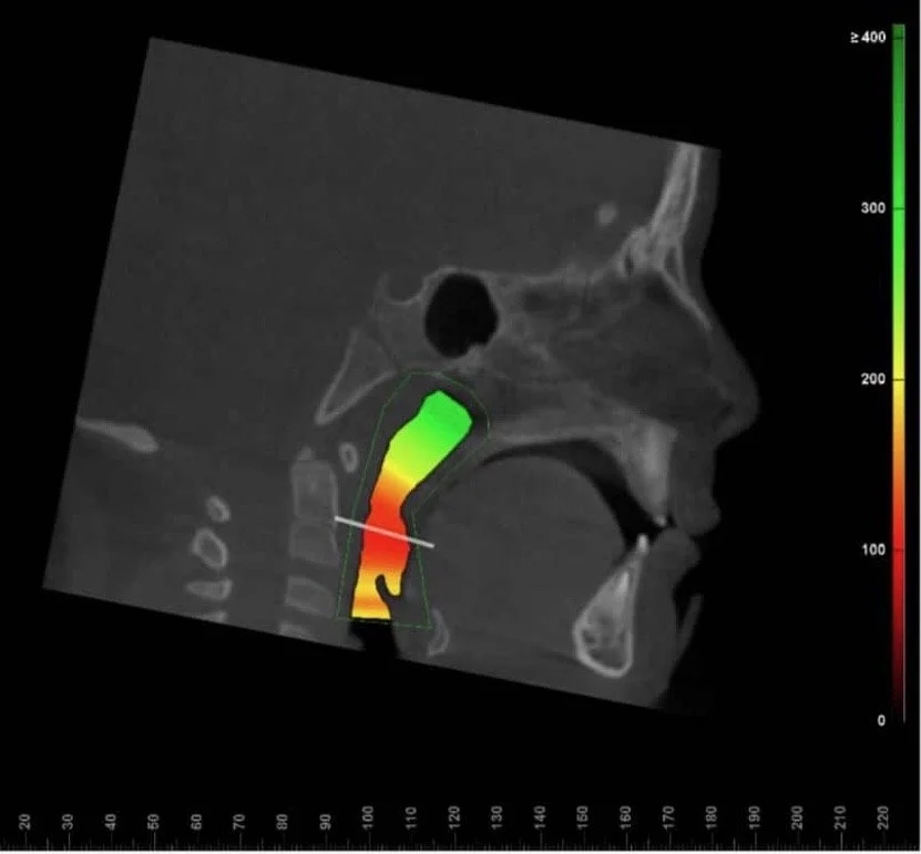
    •    Imaging (Cone Beam Computed Tomography – CBCT)

    •    Orthodontic models

    •    Oral motor and functional assessment

    •    Breathing assessment

If the tongue has less space to rest and move. This can lead to narrow dental arches, crowded or crooked teeth, and even a restricted airway.

What does this mean for your child?

They may have a harder time breathing, eating, and sometimes even speaking. Poor oral development can also impact sleep quality, behavior, and overall growth.

Dr. Nez evaluates craniofacial structure and functional limitations to address the root cause of sleep and breathing issues—not just the symptoms. By creating the space needed for proper oral function and guiding healthy growth. Also a provider of the Myo Munchee.

Her orthodontic services include primary and early mixed dentition orthopedic expansion (maxillary and mandibular up-righting), designed to support proper jaw development and a healthy airway—so your child can grow into their airway, not out of it.